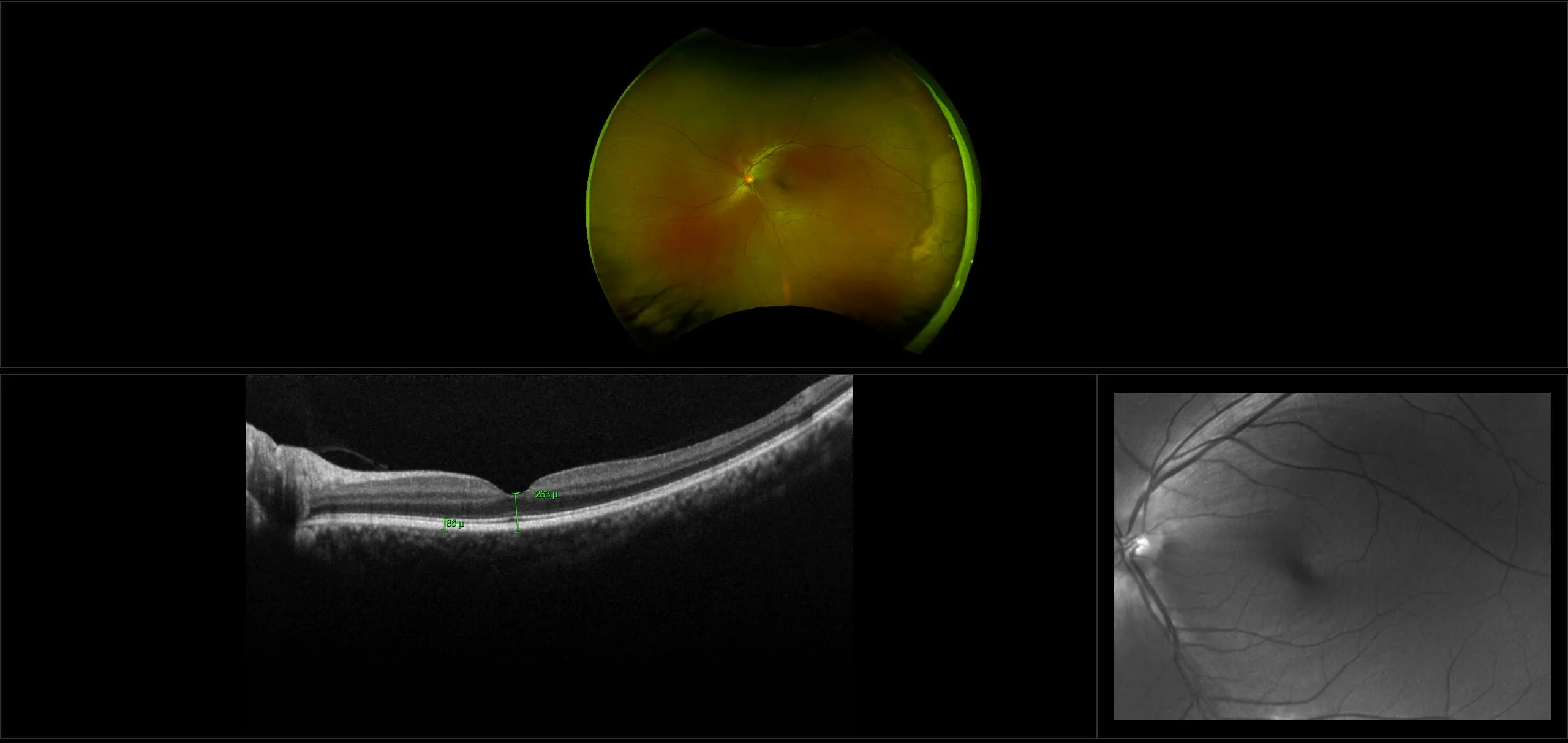
California - Lattice Degeneration - Montage, RG, RGB
Retinal degeneration is a progressive neurologic disorder caused by genetic mutations and/or environmental or pathologic damage to the retina.
Retinal degeneration is a progressive neurologic disorder caused by genetic mutations and/or environmental or pathologic damage to the retina.