MonacoPro - Epiretinal Membrane RG, AF, OCT
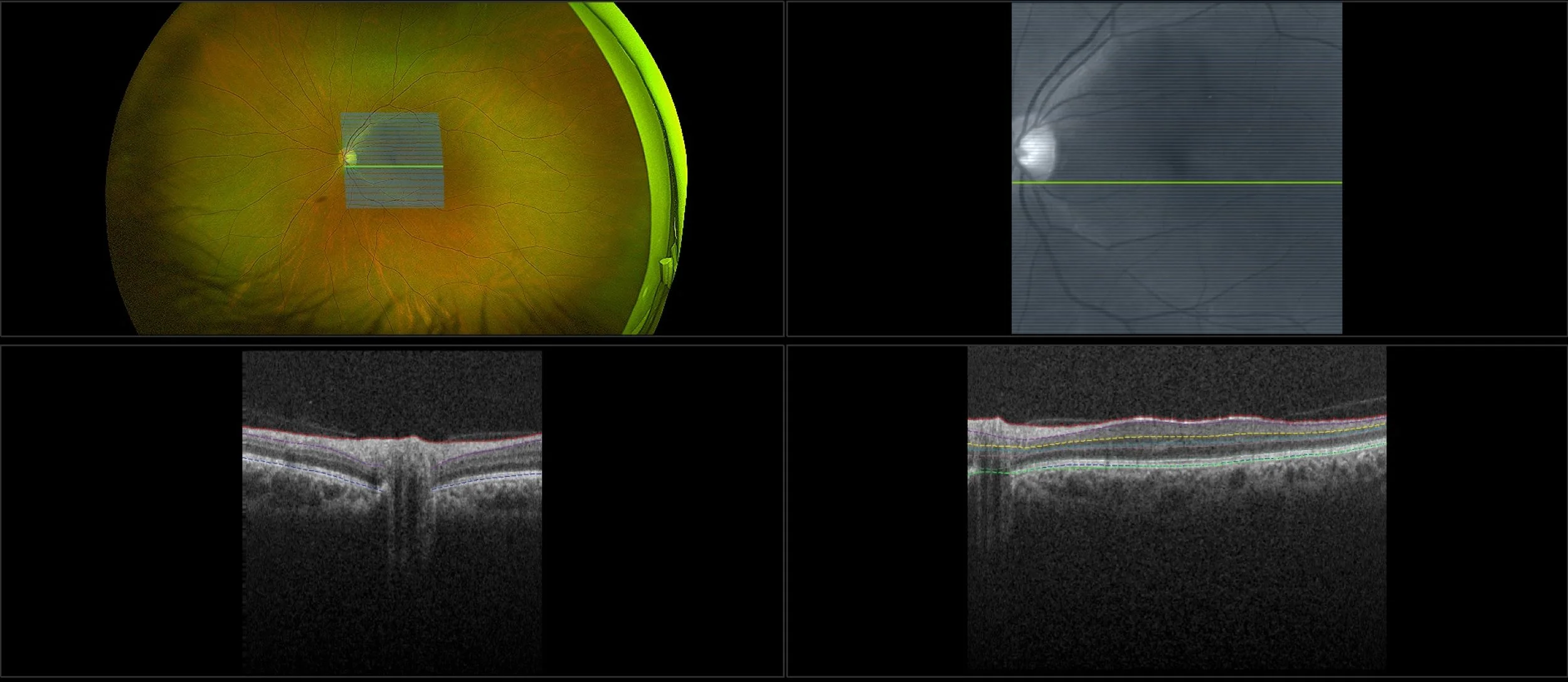
An epiretinal membrane is a fibrocellular tissue found on the inner surface of the retina. It is semi-translucent and proliferates on the surface of the internal limiting membrane.
An epiretinal membrane is a fibrocellular tissue found on the inner surface of the retina. It is semi-translucent and proliferates on the surface of the internal limiting membrane.