MonacoPro - Glaucoma, RG, Stereo, OCT

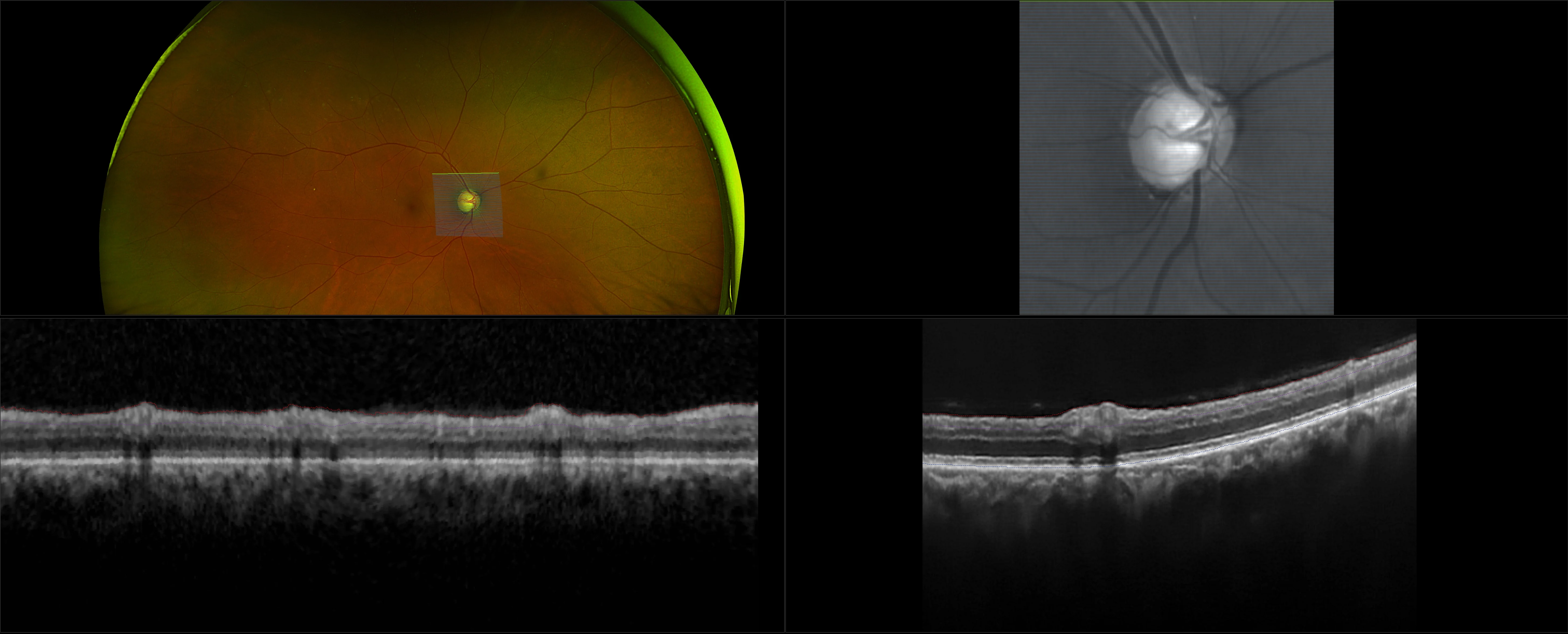
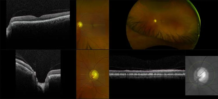
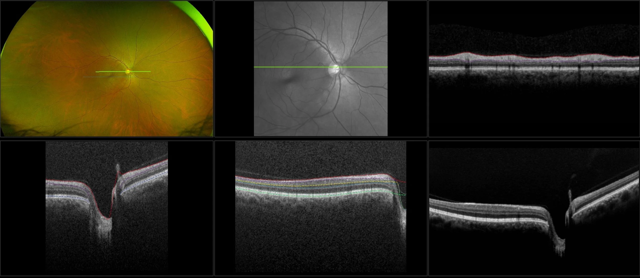
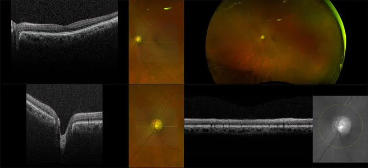
Glaucoma is a group of eye diseases that progress gradually, stealing sight, without showing symptoms. The word ‘glaucoma’ is actually an umbrella term for a group of eye diseases that damage the delicate fibers of the optic nerve. Damage is often the result of high fluid pressure inside the eye. Glaucoma can affect people of all ages but is most prevalent in middle-aged adults and the elderly. Results from published clinical studies suggest that optomap may play an essential role in glaucoma management. Optos devices capture and provide details needed for glaucoma exams such as segmentation and reference data specifically found with the MonacoPro device, while simultaneously delivering an integrated view to the eye.

Device

How can we help?

I want to receive email updates about Optos products and services