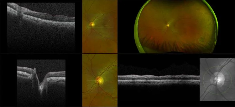
MonacoPro - Pigment Epithelial Detachment with Peripheral Degeneration, RG, OCT

In some eyes, there may be small areas of the retina that are torn, or holes may develop. These areas, called retinal breaks, can lead to retinal detachment. Retinal breaks are often caused by traction from the vitreous, the gel that fills the back of the eye. Traction can occur as the vitreous pulls away from the retina, which occurs with age, trauma, surgery, inflammation, and near-sightedness.

 https://www.advancedretinaassociates.com/patient-education/retinal-detachment-retinal-holes-tears/

Device

How can we help?

I want to receive email updates about Optos products and services