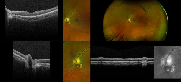
MonacoPro - Presumed Ocular Histoplasmosis Syndrome (POHS), RG, OCT

Chorioretinal disease characterized by peripheral punched-out atrophic spots, peripapillary atrophy or scarring, no evidence of inflammation (i.e. No vitreous cell), and evidence of choroidal neovascularization (which may present with bleeding, fluid, and scarring) in the macula. The term “presumed” is used because the causal link to histoplasma infection has not been firmly established.

Device

How can we help?

I want to receive email updates about Optos products and services