MonacoPro - Macular Pucker, RG, OCT
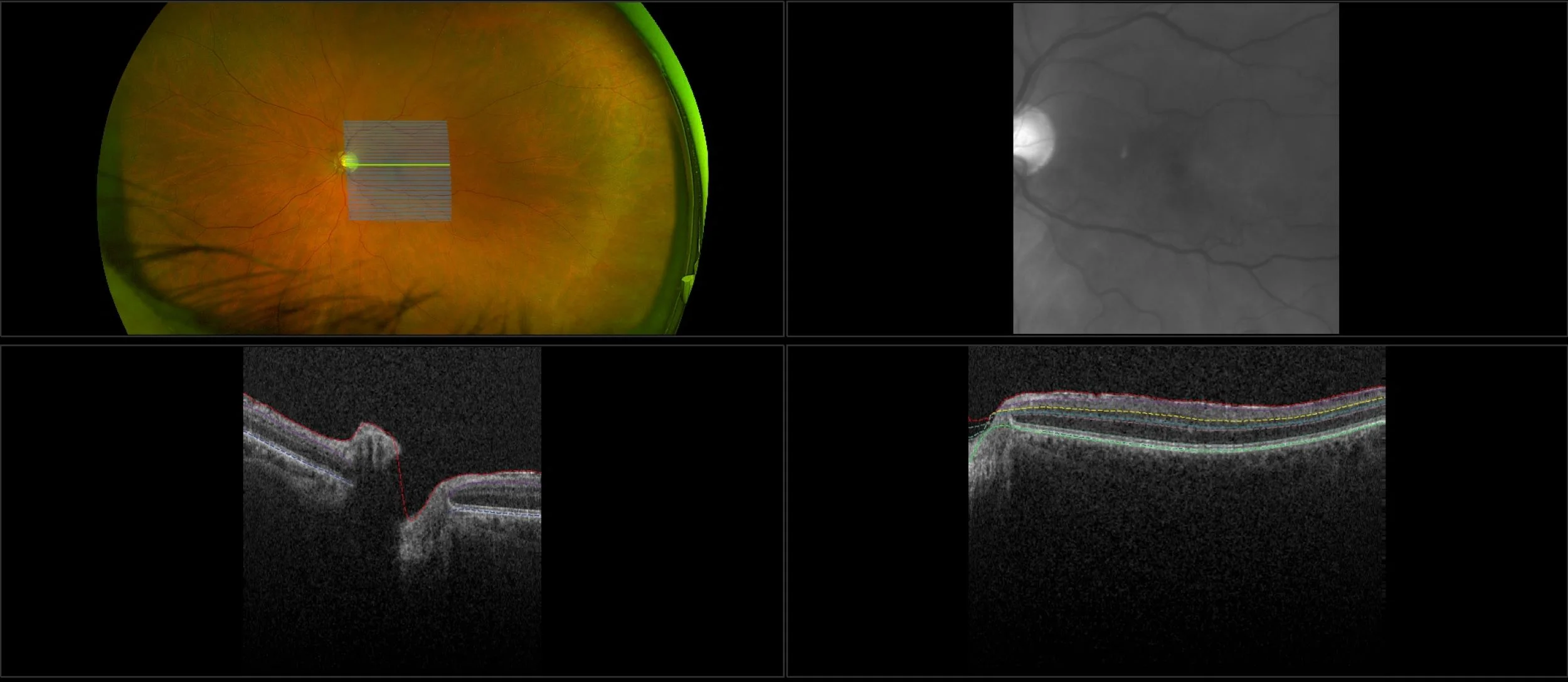
Retinal wrinkling in the macular area caused by contraction of a transparent membrane lying on the retinal surface. This can blur and/or distort vision.
Retinal wrinkling in the macular area caused by contraction of a transparent membrane lying on the retinal surface. This can blur and/or distort vision.