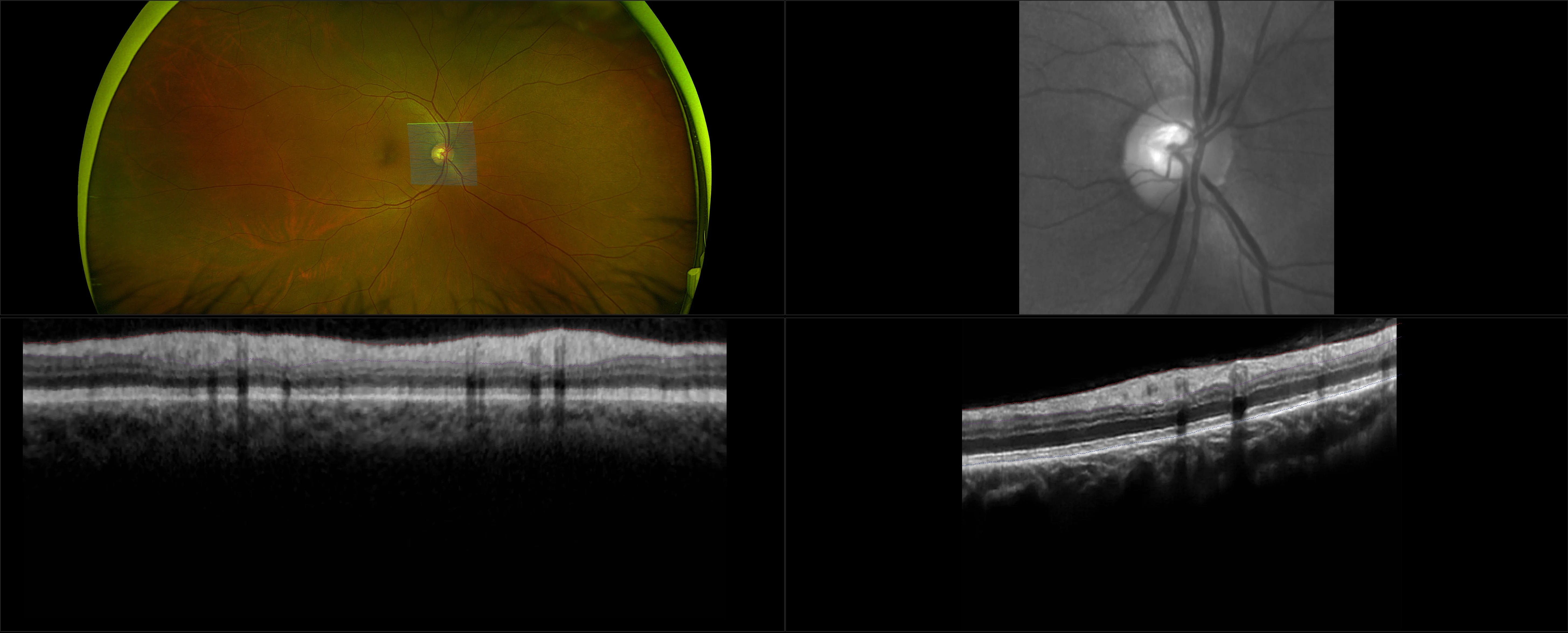
MonacoPro - Macular Pucker, RG, OCT

Retinal wrinkling in the macular area caused by contraction of a transparent membrane lying on the retinal surface. This can blur and/or distort vision.

Device

How can we help?

I want to receive email updates about Optos products and services